×
[PR]上記の広告は3ヶ月以上新規記事投稿のないブログに表示されています。新しい記事を書く事で広告が消えます。

|
購入した物や日々のことなど書こうと思ったら、最近は猫日記になってきました…
~since2013~
| |
朝一でちーちゃん検査入院。
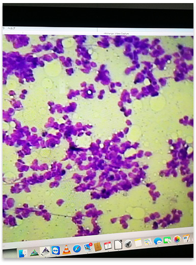
診察室でお腹の毛を刈られ、再度お腹のエコーを診ながら獣医から色々と説明を受けた。 リンパ節の細胞を採取して、細胞の検査を外部委託に出します。 その他諸々の検査もあるのと、細胞を採取する時に極稀に出血が止まらない場合があり、その時は開腹して止血するため検査に少し時間がかかるので半日ほど入院。 15時に迎えに行きました。 採取した細胞をモニターに拡大して説明してくれました。 胸部のレントゲンでは他にアヤシイ影などはないと説明してくれました。 何はともあれ外部へ出した結果待ちです。 獣医の話しをまとめるとリンパ腫は間違いない感じ… ・診療代 20,980円 明細 再診料 540円 処置料(鎮静)3,780円 エコー検査(腹部)3,240円 レントゲン検査(胸部)5,180円 外注検査(細胞診)8,240円 リンパ節の細胞、色が均一なので良くないそうです。 ちーちゃんぼちぼち頑張っていこうね… PR コメントを投稿する
<<ちーちゃん検査入院 | ブログトップ | パンダくん完食とシリンジ>> | カレンダー
カテゴリー
最新記事
(01/16)
(01/16)
(01/14)
(10/18)
(10/16) アーカイブ
最新コメント
[06/18 vszpshero]
[05/24 mejzDoulp]
[01/01 EJsox]
[06/18 みぃ]
[06/16 みぃ]
プロフィール
HN:
ごん太
性別:
男性
趣味:
登山&アウトドア、音楽、写真、昼寝
自己紹介:
気が付いたら猫が9匹住み着いてます。
2013年2月からブログ始めました。 それ以前の日付の記事は過去に遡って記録のため書きました。 ほとんど買い物したメモ代りのブログになると思います… カウンタ
ブログ内検索
P R
|